ADA Accessibility Information
Accessibility

A
A

A
Singing River Dentistry Madison

Single Tooth Replacement
Madison, AL



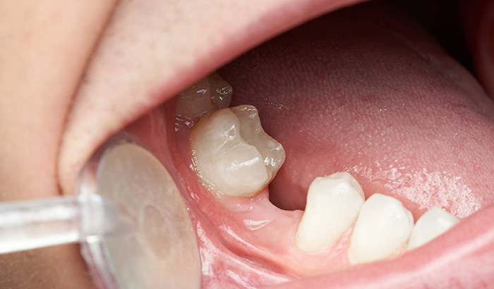
Zoomed in image of a missing tooth during a dental exam at Singing River Dentistry in Madison, ALNo one would love to lose their teeth. Unfortunately, some circumstances require tooth extraction.

Tooth extraction can occur due to gum disease, extensive tooth decay, or deep fractures. When you lose one of your teeth, you may feel self-conscious about your smile. You may also have trouble when chewing or eating. In this case, you may need to find a solution to replace the missing tooth.

At Singing River Dentistry, we provide different single tooth replacement options. We will help you choose one based on factors such as your oral health, long-term goals, and budget.


Request an Appointment


Dental Bridge



A dental bridge is a false tooth made from high-quality materials. The materials may be gold, alloys, or ceramic porcelain. In most cases, the dentist may use porcelain when replacing a front tooth. This is because the porcelain material matches the color of your natural tooth.

This false tooth features two dental crowns on either side. A dental bridge is held in place by adjacent natural teeth or an implant. There are various benefits of a dental bridge. One of the benefits is that you cannot distinguish a dental bridge from your natural teeth. A dental bridge can prevent your other natural teeth from moving. When you fill in the gaps with a dental bridge, other adjacent teeth will be less likely to become loose.


Single Tooth Denture



Missing a tooth brings consequences to your bone structure and smile. Some people think that lack of one tooth cannot lower the quality of their lives, but it can. In this case, you may need to consider prosthodontics, a dentistry procedure focusing on filling the gap and replacing missing teeth. A single front tooth denture, also known as a partial tooth, is an affordable option for fixing your smile.

A single front tooth denture consists of a fake tooth and a retainer which is held to the interior of the jaw. During single tooth denture placement, the dentist creates molds of the existing teeth. This helps to create a customized replacement tooth to fill the gap.

The single tooth denture matches the color of your existing teeth to make a seamless appearance. Single front tooth dentures are affordable and easy to install. Besides, it does not require oral surgery. Hence, it will only take a few days to prepare the denture.


Dental Crown



A dental crown offers an excellent option for replacing a single tooth. There are many benefits of dental crowns, and one of them is the ability to function and look like natural teeth. You can chew and eat with dental crowns like you can with natural teeth.

Dental crowns can restore your speech and boost your self-confidence.

Both veneers and crowns help to enhance the smile and improve the functioning of the teeth. When it comes to the front teeth, veneers are more aesthetically pleasing. This is because they cover only the front surface of the tooth, thus showing less gum margin. On the other hand, dental crowns cover the entire tooth.

Another difference between veneers and dental crowns is durability. Dental crowns are designed to last longer than veneers. Our professionals will help you determine an option that will fit your needs.


Reasons to Replace a Missing Tooth



Are you suffering from tooth loss that is hard to notice when you smile? Chances are you'll likely ignore replacing the tooth. However, each tooth is vital in ensuring oral health. A single missing tooth can result in severe issues that may require oral surgery. For instance, tooth loss can lead to jawbone deterioration.

When you chew or bite, the tooth stimulates the jawbone. However, if you stay for an extended period with a gap between your teeth, the bone will no longer receive stimulation, leading to deterioration. Besides, a missing tooth can make the existing teeth shift from their normal position. This can eventually lead to distorted bites.In this case, it is good to address the tooth loss issue soon. The good thing is that there are effective solutions for a missing tooth.


Schedule Your Consultation Today!



To start the journey of tooth replacement, you will need to undergo a consultation. This allows the dentist to evaluate your oral health to determine a suitable replacement option. In addition, it gives room for any questions and concerns about the procedure.

At Singing River Dentistry, we utilize the best tooth replacement options. Our replacement procedures create results that will function like your natural teeth. Feel free to contact us at 256-562-4001 for any questions about single tooth replacement options.


Request an Appointment


Logo for Singing River Dentistry
First Name:*
Last Name:*
Email:*
Phone:
Comment:*
Preferred Contact:
     
Please enter the text you see:

Text


256-653-9830

Hours


Monday:
Tuesday:
Wednesday:
Thursday:
Friday:
Saturday:
Sunday:
8AM - 4:30PM
8AM - 4:30PM
8AM - 2PM
8AM - 3PM
8AM - 12PM
Emergency Only
Emergency Only
Note: Closed for lunch from 1PM - 2PM on Mon and Tues
Copyright © 2021-2026 Singing River Dentistry Madison and WEO Media - Dental Marketing (Touchpoint Communications LLC). All rights reserved.  Sitemap
Single Tooth Replacement Madison AL
A denture, a crown, a dental bridge? Wondering what is your best option for replacing a tooth? Visit our website for great information & to schedule!
Singing River Dentistry Madison, 7559 Hwy 72 W, Suite 105, Madison, AL 35758, 256-562-4001, madison.singingriverdentistry.com, 4/1/2026, Related Terms: dentist Madison AL,